
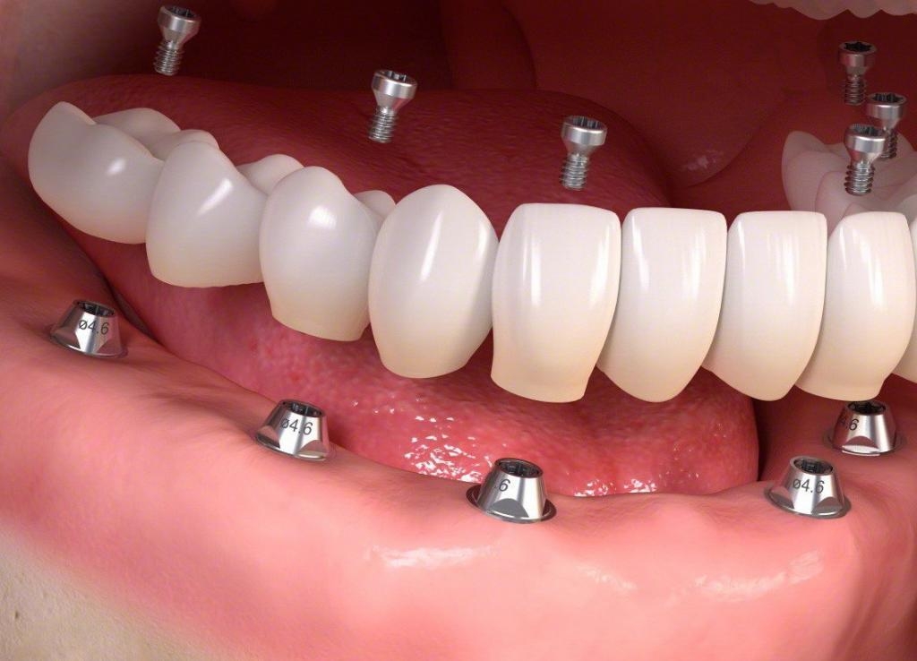
L’impianto dentale è un dispositivo ormai ampiamente utilizzato nell’odontoiatria per tutti i casi in cui vi sia la necessità di ricostruire un dente mancante per qualsiasi ragione. Di base un impianto di questo genere è costituito da una vite, o perno, che viene realizzata in titanio e sulla quale si va poi ad ancorare il nuovo dente ricostruito in modo artificiale.
Si tratta quindi di un dispositivo protesico a tutti gli effetti che va a sostituire il dente naturale mancante ancorandosi su una radice artificiale sulla quale si andrà, poi, a montare la cosiddetta corona, l’impianto per l’appunto. Questo dispositivo deve essere altamente biocompatibile, si deve quindi adattare nell’organismo e integrare nell’osso senza rischi.
Sul mercato oggi ci sono tante soluzioni che nascono per andare incontro ad esigenze più disparate. Vediamo quali sono le principali tipologia di impianto dentale. Di base si possono distinguere due macroaree:
- Impianto a carico immediato: negli ultimi anni si è diffuso questo approccio detto ‘a carico immediato’, nel senso che va a ridurre notevolmente i tempi necessari per avere l’impianto finale in bocca. In questo caso, infatti, non è previsto il ricorso alle protesi provvisorie, come invece accadeva fino a qualche anno fa. Il tutto si traduce in una riduzione sostanziale dei tempi di intervento per il paziente, che evita di restare senza dente a lungo.
- Impianto a carico differito: metodo tradizionale, che prevede tempistiche più lunghe con un periodo di dente provvisorio da portare in attesa che avvenga la cosiddetta osteointegrazione del perno metallico su cui poi ancorare il dente artificiale. Operazione che può richiedere anche diversi mesi.
Oltre alla tipologia di intervento, con riferimento alle due differenti ipotesi sopra citate, ci sono altri elementi da valutare quando si ricorre a impianti dentali: ad esempio i materiali, visto che ci sono impianti in ceramica, altri in titanio e fixture in zirconio. Ed ancora, ci sono impianti zigomatici che sono la soluzione ideale nel caso in cui vi sia poca presenza di osso.
Tante soluzioni che offrono una panoramica ampia e che devono essere valutate di volta in volta dall’odontoiatra che opera per capire quale potrebbe essere quella maggiormente adatta. Si deve sempre partire dallo stato di salute del paziente, dalle sue necessità oltre che dalla conformazione della sua bocca (es: capire quanto osso è ancora disponibile per l’ancoraggio).
Paziente che deve essere sempre informato su queste tipologie di approccio e su quella che si andrà a scegliere, secondo l’analisi effettuata dal dentista dopo una visita preliminare utile ad effettuare una diagnosi adeguata.






